HOME ≫ 新着情報 ≫
最新情報
-
2023年01月21日
院長酸蝕歯講演会2回シリーズ基礎編
今まで酸蝕歯の症状や原因を書いた本はありました。しかし、酸蝕歯の治療に関してはほぼ各歯科医院が...
-
2022年10月13日
ドックベストセメント治療の問題点
先日3例目のドックベストセメント治療を受けた酸蝕歯の患者さんが何回通院しても治らないということ...
-
2022年10月02日
ドックベストセメント治療の失敗
先日2例目のドックベストセメント治療でトラブルになった患者さんが来院された。 写真の右下7番は...
-
2022年09月08日
摂食障害の患者さんのブログが公開されました
摂食障害の患者さんの方はご参考になると思います。 https://ameblo.jp/ryu-...
-
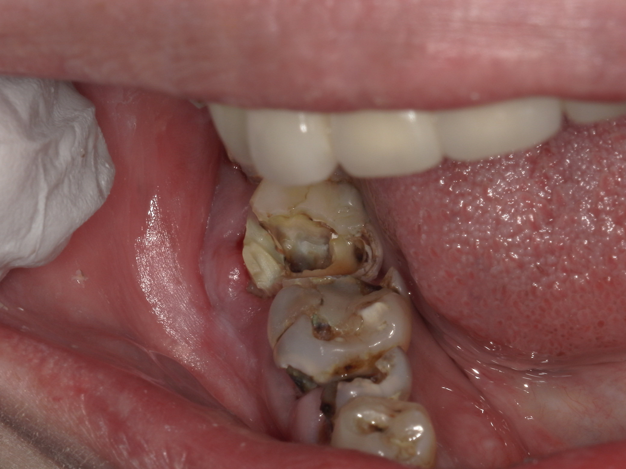
2022年09月08日
ドックベストセメント治療の被害
最近、ドックベストセメントによる治療のトラブル例が増えています。 写真はドッグベストセメント治...
-
2021年08月01日
10月3日日曜日1時から院長オンライン講習会開催
東京歯科教育舎主催のオンライン講習会が開催されます。
-
2021年07月16日
7月8月9月10月の休診日
当院では旧カレンダー通りで診療を行っております。 7月19日月曜日は休診、7月23日金曜日は診...
-
2021年07月14日
10月3日13時~16時院長のzoomオンラインセミナー
2021年10月3日 コンポジットレジンを用いた様々な問題解決法 というテーマで院長のzoom...
-
2021年02月21日
インビザラインやマウスガード矯正による酸蝕に注意
最近10代のインビザラインによる歯並び矯正が多くなっております。 しかし、インビザラインの公...
-
2021年02月21日
新型コロナ禍のストレスにより摂食障害による歯の相談が急増
新型コロナ禍における自粛のために、人と話す機会が減り、摂食障害の悪化や再発が多くなっていると言...
